We're sorry but project doesn't work properly without JavaScript enabled. Please enable it to continue.
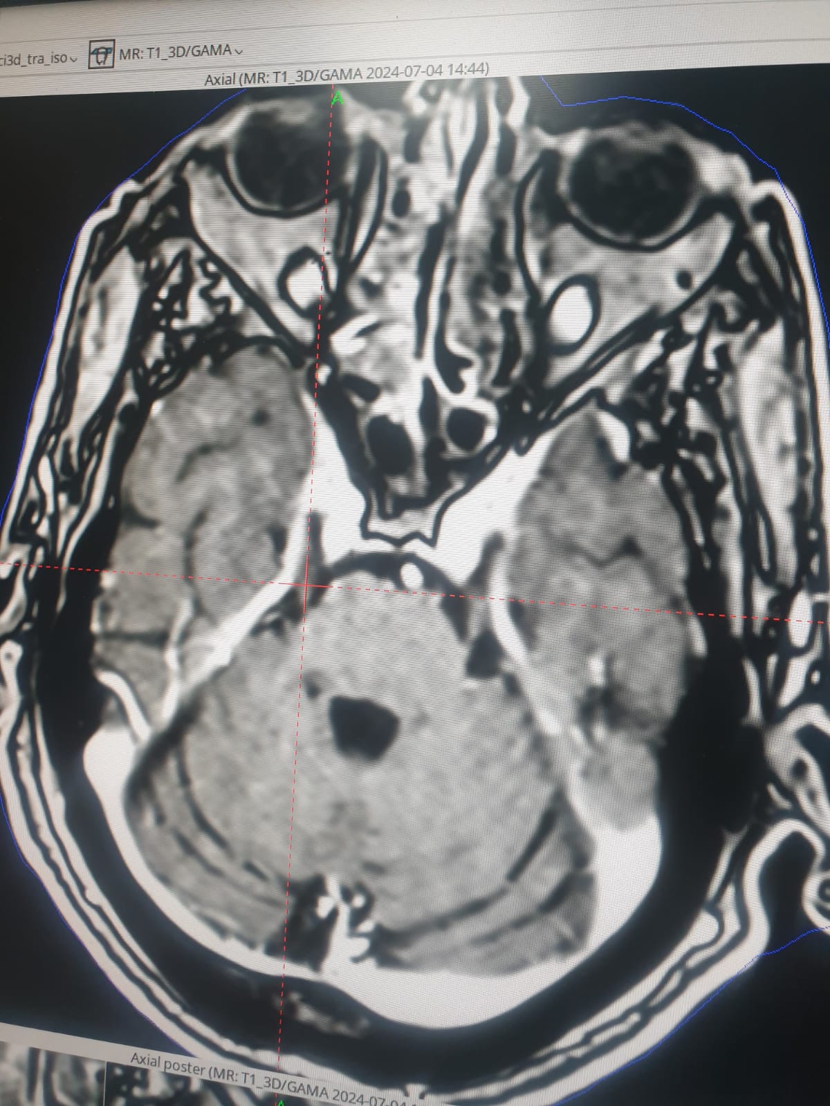
A trigeminal nerve tumor is treated with Gamma Knife radiation.

A trigeminal nerve tumor is treated with Gamma Knife radiation.

12 July 2024

Professor Dr. Adil Ameer Jassim Mohammed, a faculty member in the Surgery Department at Al-Nahrain College of Medicine, treated a trigeminal nerve tumor using the latest technique, Gamma Knife radiation.


Share on: